TẠI SAO KẼ RĂNG BỊ Ố VÀNG? CÁCH LOẠI BỎ MÀU RĂNG Ố VÀNG CHỈ SAU 15 PHÚT
1. Tại sao kẽ răng bị ố vàng
Răng trắng sáng là tiêu chuẩn chung của một nụ cười đẹp, nhưng không phải ai cũng có thể giữ được màu răng như ý. Hoạt động ăn uống hàng ngày có thể làm răng xỉn màu đi, dẫn đến kẽ răng bị ố vàng. Ngoài ra, thói quen vệ sinh răng miệng cũng ảnh hưởng rất nhiều đến màu sắc của răng.
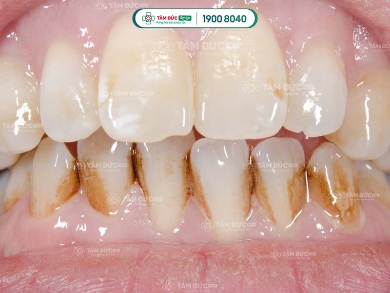
1.1. Kẽ răng bị ố vàng chính là cao răng
Cao răng được hình thành từ vụn thức ăn còn sót lại trong khoang miệng. Chúng bám chặt ở thân răng, cổ răng và kẽ răng làm cho răng chuyển sang màu vàng.
Nếu Quý khách chỉ dùng bàn chải thông thường thì không thể loại sạch mảng bám ở kẽ răng. Nó vô tình trở thành nơi ẩn náu của hàng triệu loại vi khuẩn phát triển gây sâu răng.
Cao răng không chỉ làm cho kẽ răng bị ố vàng mà nó còn gây hôi miệng kéo dài. Vùng nướu tiếp xúc với cao răng rất dễ bị viêm nhiễm, sưng đỏ, làm chảy máu chân răng.

Cao răng làm cho kẽ răng bị ố vàng
1.2. Hút thuốc lá làm kẽ răng bị ố vàng
Trong thuốc lá có chứa nhiều chất độc hại có thể phá hủy men răng. Men răng bị tổn thương, răng dần chuyển từ màu trắng sáng sang ố vàng. Ở người nghiện thuốc lá nặng, răng có thể chuyển sang màu đen hoặc nâu sậm.
Kẽ răng bị ố vàng cũng là tín hiệu cảnh báo Quý khách nên ngừng hút thuốc lá để bảo vệ răng miệng.
Bên cạnh tác hại làm răng xỉn màu, hút thuốc lá còn làm Quý khách gia tăng nguy cơ mắc bệnh viêm nướu, hôi miệng, lung lay răng.

Kẽ răng bị ố vàng do thói quen hút thuốc lá
1.3. Kẽ răng bị ố vàng do thói quen vệ sinh răng miệng
Vệ sinh răng miệng sai cách là một trong những lý do làm cho răng bị ố vàng nhanh nhất. Quý khách có đang mắc phải một trong các lỗi sai khi vệ sinh răng miệng sau đây không?
1.3.1. Dùng lực chải răng quá mạnh
Quý khách dùng lực chải răng quá mạnh có thể làm hư tổn men răng, làm cho răng yếu và dễ bị xỉn màu. Lực chải răng mạnh còn làm cho nướu bị trầy xước, làm gia tăng nguy cơ bị viêm nhiễm trong khoang miệng.
1.3.2. Đánh răng quá nhanh hoặc quá lâu
Quý khách đánh răng quá nhanh dưới 1 phút không thể loại sạch tất cả mảng bám bên trong khoang miệng. Mảng bám tích tụ lâu ngày sẽ làm cho kẽ răng bị ố vàng.
Trường hợp quý khách đánh răng quá lâu trên 2 phút sẽ làm hỏng men răng. Răng mất đi lớp bảo vệ nên dễ bị ố vàng, bị sâu, giòn và dễ gãy rụng.
1.3.3. Quý khách đang dùng kem đánh răng không phù hợp
Quý khách nên dùng kem đánh răng có chứa thành phần Fluor để tăng thêm lớp bảo vệ cho răng. Fluor giúp men răng chắc khỏe nhờ vào cơ chế chuyển hoá các apatit thành khoáng chất fluoroatit. Sự có mặt của Fluor còn làm ức chế quá trình phân giải đường của vi khuẩn. Qua đó, vi khuẩn không còn cơ hội tấn công vào men răng, không thể gây sâu răng.
Quý khách nên thay đổi kem đánh răng thường xuyên để gia tăng hiệu quả bảo vệ răng cho bản thân và gia đình.

Kẽ răng bị ố vàng do Quý khách đang dùng kem đánh răng không có tác dụng bảo vệ răng
1.3.4. Quý khách đánh răng vào thời điểm không phù hợp
Đánh răng ngay sau khi ăn rất dễ làm hỏng men răng. Nguyên nhân là vì axit trong nước bọt kết hợp với axit trong thực phẩm có thể làm mềm lớp men răng. Nếu Quý khách đánh răng ngay sau khi ăn, men răng dễ bị tổn thương và hư hỏng. Lúc này, răng mắc đi lớp bảo vệ dẫn đến hiện tượng kẽ răng bị ố vàng.
Thời điểm đánh răng tốt nhất là sau khi ăn khoảng 30 phút. Quý khách nên duy trì thói quen đánh răng ít nhất hai lần mỗi ngày.
1.3.5. Không áp dụng các biện pháp làm sạch răng miệng khác
Chỉ đánh răng thôi thì không thể làm sạch hoàn toàn các mảng bám trong khoang miệng. Quý khách nên dùng thêm chỉ nha khoa để loại sạch vụn thức ăn còn bám ở kẽ răng.
Bước cuối cùng trong quy trình vệ sinh răng miệng là súc miệng với nước có khả năng diệt khuẩn. Quý khách có thể dùng nước súc miệng chuyên dụng, được bán ở các nhà thuốc hoặc dùng nước muối pha loãng tại nhà.
Nước súc miệng giúp tiêu diệt đến 99% vi khuẩn còn tồn đọng trong khoang miệng. Nó còn giúp ngăn ngừa vi khuẩn hiệu quả suốt cả đêm. Quý khách nên tạo thói quen dùng nước súc miệng mỗi tối để ngăn ngừa tình trạng kẽ răng bị ố vàng.
1.3.6. Dùng tăm xỉa răng truyền thống
Việc dùng tăm xỉa răng truyền thống để loại bỏ mảng bám cũng vô tình gây tổn hại men răng. Tăm xỉa răng không thể lấy hết vụn thức ăn ra khỏi răng, ngược lại còn đẩy thức ăn vào sâu trong kẽ. Vụn thức ăn tích tụ lâu ngày hình thành cao răng và làm cho kẽ răng bị ố vàng.
Như vậy, thay vì dùng tăm xỉa răng truyền thống, Quý khách hãy ưu tiên dùng chỉ nha khoa để tối ưu việc bảo vệ răng miệng.

.jpg)
ĐẶT HẸN NGAY HÔM NAY ĐỂ ĐƯỢC:
► Khám và tư vấn miễn phí
► Miễn phí chụp film cùng với máy Conebeam CT trị giá 700K
► Miễn phí quét mẫu hàm công nghệ ITERO trị giá 3 triệu
► Hỗ trợ trả góp 0% lãi suất
2. Cách khắc phục kẽ răng ố vàng, răng xỉn màu nhanh chóng và hiệu quả
Răng ngả màu, ố vàng nhưng chưa gây đau nhức nên Quý khách rất dễ chủ quan mà bỏ qua. Để không bị mất răng vĩnh viễn, Quý khách hãy tìm đến bác sĩ ngay khi phát hiện kẽ răng bị ố vàng.
Đây được xem là giai đoạn sớm nhất của bệnh sâu răng. Điều trị bệnh ở giai đoạn này giúp Quý khách tiết kiệm thời gian, chi phí và bảo tồn được răng gốc dài lâu.
2.1. Khắc phục ố vàng kẽ răng bằng cách trám răng
Lúc đầu, vị trí kẽ răng bị ố vàng chỉ là một chấm nhỏ không gây đau nhức, mà chỉ ảnh hưởng đến thẩm mỹ khi cười. Thật ra đây là một điểm sâu răng nhỏ, nếu không được loại bỏ sớm, nó sẽ nhanh chóng tiến triển thành lỗ sâu răng to hơn.
Vì vậy, Quý khách cần đến gặp bác sĩ để loại bỏ kẽ răng ố vàng, trám lại răng để phục hình thẩm mỹ cho răng.

Trám răng giúp chữa kẽ răng bị ố vàng
2.2. Cạo vôi răng
Tác nhân chính làm kẽ răng bị ố vàng chính là vôi răng. Quý khách nên chủ động đi cạo vôi răng ít nhất 6 tháng/lần để ngăn ngừa cao răng tích tụ, tránh bị ố vàng chân răng, kẽ răng.
Tại nha khoa Tâm Đức Smile, bác sĩ giúp Quý khách loại bỏ mảng ố vàng trên răng một cách nhanh chóng và dễ chịu. Thủ thuật cạo cao răng diễn ra chỉ từ 15 đến 30 phút, ngay sau đó, Quý khách lại sở hữu hàm răng trắng sáng, chắc khỏe.

Cạo vôi răng giúp loại bỏ ố vàng ở kẽ răng nhanh chóng
>>> Xem thêm: Cận cảnh bệnh nhân không lấy cao răng trong suốt 35 năm
Lý do Quý khách nên cạo vôi răng tại nha khoa Tâm Đức Smile:
- Bác sĩ thực hiện êm ái, cam kết không xâm lấn, không gây chảy máu.
- Dụng cụ cạo vôi răng được khử trùng theo tiêu chuẩn.
- Hệ thống nhiều chi nhánh, trải dài từ Đà Nẵng đến Cà Mau, thuận tiện trong việc đăng ký chăm sóc răng.
- Không gian phòng điều trị rộng rãi, mát mẻ, mang đến cho Quý khách những giây phút trải nghiệm thoải mái nhất.
2.3. Bọc răng sứ để bảo vệ răng thật
Bọc răng sứ là kỹ thuật nha khoa hiện đại giúp phòng tránh bệnh sâu răng hiệu quả. Nếu Quý khách có gen di truyền men răng yếu, hoặc cấu trúc răng dễ bị sâu, bọc răng sứ chính là cách hữu hiệu nhất để phòng sâu răng.
Quá trình bọc răng sứ diễn ra nhẹ nhàng và nhanh chóng, có thể thực hiện trên toàn hàm. Răng sứ được thiết kế phù hợp với dáng răng và màu sắc tự nhiên của răng, giữ cho nụ cười luôn trắng sáng.
Có thể nói, bọc răng sứ là giải pháp phòng tránh kẽ răng bị ố vàng hiệu quả. Tác dụng phòng tránh ố vàng răng và sâu răng có thể lên đến vĩnh viễn, tùy vào dòng răng sứ mà Quý khách lựa chọn.
Tại nha khoa Tâm Đức Smile, răng sứ được chế tác tinh xảo, có độ bền cao. Bên ngoài răng sứ được phủ thêm lớp màng sinh học, có tác dụng chống lại sự nhiễm màu từ thực phẩm. Qua đó, nó giúp răng của Quý khách luôn sáng, trắng và đẹp.
Mời Quý khách lắng nghe chia sẻ của chị Yến Ngọc sau khi bọc răng sứ tại nha khoa Tâm Đức Smile
Lý do Quý khách nên bọc răng sứ tại nha khoa Tâm Đức Smile:
- Đã có hàng trăm khách hàng sở hữu nụ cười trắng sáng, dáng răng hợp phong thủy như ý muốn.
- Tâm Đức Smile là nơi được nhiều nghệ sĩ lựa chọn để gửi gắm hình ảnh nụ cười.
- Sở hữu phòng chế tác răng sứ riêng biệt, giúp rút ngắn thời gian bọc răng sứ xuống chỉ còn 2-3 ngày.
- Sử dụng công nghệ thiết kế nụ cười hoàn mỹ, mang đến dáng răng đẹp tự nhiên, cân chỉnh cung răng hài hòa với đường nét khuôn mặt.
- Vật liệu chế tác răng sứ chính hãng, đa dạng các mức phí, độ bền lên đến vĩnh viễn.
- Hệ thống nha khoa nhiều chi nhánh, thuận tiện cho việc thăm khám và điều trị.
- Đội ngũ bác sĩ có tay nghề vững chắc, có mắt nhìn thẩm mỹ.
Kẽ răng bị ố vàng có thể tiến triển thành sâu răng rất nhanh chóng. Quý khách nên khắc phục khuyết điểm này ngay từ sớm để phòng tránh các vấn đề nghiêm trọng hơn như sâu răng, viêm nướu. Quý khách hãy chủ động phòng tránh ố vàng kẽ răng bằng cách ngưng dùng thuốc lá, hạn chế uống bia rượu hoặc nước có gas. Quý khách cần đánh răng sau khi ăn ít nhất 30 phút và dùng thêm chỉ nha khoa, nước súc miệng để làm sạch răng toàn diện.
Tùy vào mức độ ố vàng kẽ răng, bác sĩ sẽ chỉ định phương pháp điều trị phù hợp cho Quý khách. Vì vậy, Quý khách hãy chia sẻ tình trạng răng miệng của mình với bác sĩ ngay bây giờ bằng cách:
- Gọi đến Hotline 19008040 - 0329851079 (Có sử dụng Zalo/Viber).
- Để lại thông tin và đặt câu hỏi cho bác sĩ vào bảng sau đây.




