RĂNG LỆCH NHÂN TRUNG: ẢNH HƯỞNG VÀ CÁCH KHẮC PHỤC NHANH, AN TOÀN
1. Răng lệch nhân trung là gì?
Răng lệch nhân trung là tình trạng kẽ giữa hai răng cửa không nằm thẳng với đường nhân trung. Đường nhân trung là một đường rãnh nhỏ nằm ở giữa mũi và môi trên. Ở người bình thường, kẽ giữa hai răng cửa sẽ nằm ngay trên đường nhân trung. Tuy nhiên, trong một số trường hợp, kẽ giữa hai răng cửa có thể lệch sang trái hoặc phải so với đường nhân trung.
Cách nhận biết Quý khách đang bị lệch nhân trung:
- Nhìn trực tiếp: Quý khách hãy nhìn trực tiếp khuôn mặt của mình trong gương. Nếu Quý khách thấy kẽ giữa hai răng cửa lệch sang trái hoặc phải so với đường nhân trung thì đó là dấu hiệu bị lệch đường giữa.
- Sử dụng thước đo: Quý khách hãy dùng thước đo để đo khoảng cách giữa kẽ hai răng cửa và đường nhân trung. Nếu khoảng cách này không bằng nhau thì đó là dấu hiệu của lệch nhân trung.
.jpg)
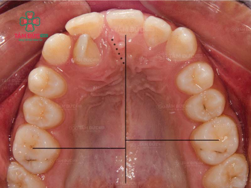
Trường hợp bị lệch nhân trung
2. Những ảnh hưởng do răng lệch nhân trung gây ra
2.1. Răng lệch nhân trung trong nhân tướng học
Trong nhân tướng học, nhân trung là một trong những bộ phận quan trọng trên khuôn mặt. Nó phản ánh tính cách cùng với vận mệnh của con người. Ý nghĩa của nhân trung lệch còn phụ thuộc vào hướng lệch.
2.2. Lệch nhân trung sang bên phải
Người có nhân trung lệch sang bên phải thường được đánh giá là người thiếu trung thực, hay gian dối, mưu tính, keo kiệt, tính toán chi li. Họ cũng thường khó hòa đồng, hay gặp mâu thuẫn với người khác.
2.3. Lệch nhân trung sang bên trái
Người có nhân trung lệch sang bên trái được đánh giá là người không có chính kiến, nhút nhát, thiếu ý chí tiến thủ, không có khả năng lãnh đạo. Họ cũng là người khó thành công trong cuộc sống.
2.4. Răng lệch nhân trung theo khoa học
Ngoài những ý nghĩa về mặt tướng số, răng lệch nhân trung còn có những tác động thực tế như sau.
2.4.1. Mất cân đối gương mặt
Lệch nhân trung làm cho khuôn miệng và tổng thể gương mặt của Quý khách bị mất cân đối. Nụ cười trông kém duyên, làm Quý khách cảm thấy mất tự tin trong giao tiếp.
2.4.2. Khó khăn trong vệ sinh răng miệng
Người bị lệch nhân trung do sai lệch khớp cắn, hô vẩu, móm,… gặp khó khăn trong quá trình vệ sinh răng miệng. Thức ăn dễ bị đọng lại ở kẽ răng và tăng nguy cơ mắc các bệnh lý về răng miệng.
2.4.3. Tác động đến khớp thái dương hàm và cấu trúc khuôn mặt
Về lâu dài, lệch nhân trung do sai lệch khớp cắn có thể ảnh hưởng lớn tới khớp thái dương hàm và gây ra các vấn đề về sức khỏe.

Lệch nhân trung gây ảnh hưởng khớp thái dương hàm
3. Răng lệch nhân trung là do đâu?
Nguyên nhân lệch đường nhân trung có thể được chia thành 3 nhóm chính:
- Răng lệch nhân trung do bẩm sinh: Nguyên nhân này thường do yếu tố di truyền, nếu cha hoặc mẹ có răng lệch đường nhân trung thì con sinh ra cũng có nguy cơ.
- Răng lệch nhân trung do thói quen xấu: Một số thói quen xấu trong giai đoạn phát triển của răng sữa và răng vĩnh viễn dẫn đến lệch đường nhân trung. Chẳng hạn như: ngậm ti giả, mút tay, đẩy lưỡi,...
- Răng lệch nhân trung do niềng răng không hiệu quả: Niềng răng là phương pháp chỉnh nha phổ biến để khắc phục các vấn đề về khớp cắn. Nhưng nếu tay nghề của bác sĩ quá kém hoặc do Quý khách chăm sóc răng miệng không đúng cách thì răng dễ bị lệch sau khi niềng.
4. Các phương pháp khắc phục răng lệch nhân trung
Có hai phương pháp chính để khắc phục răng lệch nhân trung là niềng răng và bọc răng sứ.
4.1. Niềng răng chữa răng lệch nhân trung
Niềng răng là phương pháp sử dụng các khí cụ chỉnh nha để tác động lên răng, giúp răng di chuyển về đúng vị trí mong muốn. Đây là phương pháp được nhiều người lựa chọn để khắc phục tình trạng răng lệch nhân trung.
4.1.1. Ưu điểm
- Hiệu quả cao, có thể chỉnh sửa được mọi mức độ lệch nhân trung.
- Không cần xâm lấn sâu vào nướu răng, giúp bảo tồn răng thật một cách tối ưu nhất.
- Mang lại hiệu quả lâu dài, có thể duy trì trọn đời nếu Quý khách chăm sóc đúng cách.
4.1.2. Nhược điểm
-
Thời gian điều trị dài khoảng 1 - 2 năm.
Tùy vào mức độ răng lệch nhân trung và điều kiện kinh tế, Quý khách sẽ được bác sĩ chỉ định phương pháp niềng răng phù hợp.



4.1.3. Niềng răng mắc cài kim loại
Đây là phương pháp niềng răng truyền thống, có chi phí thấp nhất. Niềng răng mắc cài kim loại có tính thẩm mỹ thấp, do người đối diện dễ dàng nhìn thấy mắc cài và dây cung khi Quý khách cười.
4.1.4. Niềng răng mắc cài sứ
Loại niềng răng này có tính thẩm mỹ cao hơn niềng răng mắc cài kim loại. Nguyên nhân là do mắc cài bằng sứ có màu sắc gần giống với màu răng thật. Chi phí niềng răng mắc cài sứ thường cao hơn niềng răng mắc cài kim loại.
4.1.5. Niềng răng mắc cài tự buộc
Loại niềng răng này có cấu tạo tương tự như niềng răng mắc cài kim loại. Mắc cài này có chốt tự buộc giúp giảm lực ma sát nên quá trình niềng răng diễn ra nhẹ nhàng hơn.
4.1.6. Niềng răng trong suốt Invisalign
Đây là phương pháp niềng răng hiện đại, sử dụng các khay niềng trong suốt để tác động lên răng. Niềng răng Invisalign có tính thẩm mỹ cao nhất, do khay niềng trong suốt gần như vô hình. Tuy nhiên, chi phí niềng răng Invisalign cũng cao nhất trong các loại niềng răng.

Niềng răng trong suốt giúp khắc phục lệch nhân trung hiệu quả
>>> Xem thêm: Niềng răng chỉnh nha bao nhiêu tiền? Các yếu tố quyết định chi phí
4.2. Bọc răng sứ chữa răng lệch nhân trung
Bọc răng sứ là phương pháp sử dụng răng sứ để bọc bên ngoài răng thật. Bọc răng sứ giúp che đi khuyết điểm lệch lạc của răng.
4.2.1. Ưu điểm của bọc răng sứ
- Thời gian thực hiện nhanh.
- Có thể điều chỉnh được răng lệch nhân trung.
- Điều chỉnh hình dáng răng, giúp răng trắng sáng, đều màu.
- Răng sứ có độ bền cao, có thể duy trì từ 10-20 năm nếu biết cách chăm sóc.
4.2.2. Lưu ý khi bọc răng sứ
-
Vì bọc răng sứ cần phải mài bớt một phần răng thật nên Quý khách cần chọn địa chỉ nha khoa chất lượng để nâng cao khả năng bảo tồn răng gốc.






>>> Xem thêm: Quy trình bọc răng sứ tại nha khoa Tâm Đức Smile
5. Lựa chọn phương pháp nào?
Lựa chọn phương pháp chỉnh răng lệch nhân trung nào phụ thuộc vào nhiều yếu tố, bao gồm:
- Mức độ lệch của răng.
- Tình trạng sức khỏe răng miệng của Quý khách.
- Thời gian và chi phí theo dự trù của Quý khách.
Nếu răng lệch nhân trung không quá nghiêm trọng, Quý khách có thể lựa chọn phương pháp bọc răng sứ. Phương pháp này có thời gian điều trị ngắn, không gây khó khăn trong ăn uống và vệ sinh răng miệng.
Nếu răng lệch nhân trung nghiêm trọng hơn, Quý khách nên lựa chọn phương pháp niềng răng. Phương pháp này mang lại hiệu quả cao, lâu dài và bảo tồn được răng thật tối đa.
Hiện nay, có hai phương pháp chính để khắc phục răng lệch nhân trung là niềng răng và bọc răng sứ. Mỗi phương pháp đều có những ưu điểm và nhược điểm riêng, tùy theo mức độ lệch lạc của răng và nhu cầu của Quý khách. Nếu Quý khách đang gặp phải tình trạng răng lệch nhân trung, hãy gọi ngay cho Tâm Đức Smile để được bác sĩ hỗ trợ.
Nha khoa Tâm Đức Smile ưu đãi đến 50% các dịch vụ làm răng thẩm mỹ khi Quý khách đặt hẹn qua Hotline 1900 8040 - 0329 851 079 (Có sử dụng Zalo/Viber).


