MẤT RĂNG SỐ 6 PHỤC HÌNH BẰNG CÁCH NÀO HIỆU QUẢ HIỆN NAY
1. Vai trò của răng số 6
Răng số 6 có vai trò chính là nhai và nghiền nát thức ăn. Chiếc răng này có kích thước lớn và bề mặt nhai rộng, có nhiều gờ rãnh, nên thức ăn được nghiền nát rất hiệu quả. Răng số 6 còn có mối liên hệ mật thiết với xoang hàm. Vì vậy, việc bị mất răng số 6 sẽ cực kỳ nguy hiểm, có thể làm ảnh hưởng khả năng vận động của hàm về sau.
Với vai trò đặc biệt, răng số 6 còn được gọi là răng cấm, chiếc răng này chỉ mọc khi con người bước sang độ tuổi từ 6-8. Nếu răng số 6 vĩnh viễn bị mất sẽ không thể mọc lại. Khi này, nhiều hậu quả đáng tiếc có thể xảy ra, sức khỏe của Quý khách cũng bị ảnh hưởng đáng kể.
2. Nguyên nhân làm mất răng số 6
Có nhiều nguyên nhân khác nhau có thể làm cho răng số 6 bị mất. Cụ thể là:
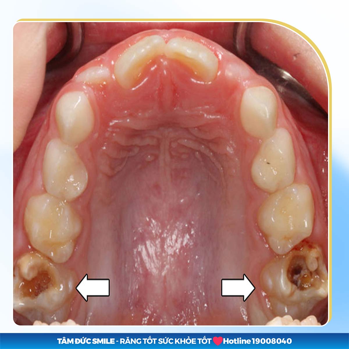
2.1. Sâu răng
Nguyên nhân phổ biến gây mất răng số 6 là do chăm sóc răng miệng không tốt gây sâu răng. Tình trạng sâu răng nặng sẽ khiến men răng và ngà răng số 6 bị phá huỷ, làm cho răng bị hỏng dần từ ngoài vào trong.

Mất răng số 6 gây khó khăn trong ăn uống
>>> Xem thêm: Quá trình sâu răng diễn ra như thế nào?
2.2. Xung quanh răng bị viêm
Nguyên nhân khác gây mất răng số 6 chính là viêm quanh răng, viêm lợi hoặc tiêu xương quanh chân răng. Vấn đề này làm cho răng số 6 suy yếu nghiêm trọng, bác sĩ sẽ nhổ bỏ trong trường hợp khẩn cấp. Đây là cách xử lý viêm nhiễm không làm ảnh hưởng đến sức khỏe tổng thể.
2.3 Mất răng số 6 do gãy - nứt chân răng
Do gãy - nứt chân răng là nguyên nhân cuối cùng làm mất chiếc răng số 6. Điều này bắt nguồn từ các tác động mạnh do va đập hoặc chấn thương, cắn phải vật cứng,... Ngoài ra, nếu Quý khách có chất lượng men răng xấu cũng rất dễ bị nứt gãy răng số 6.
3. Hậu quả khi răng số 6 bị mất
Khi bị mất răng số 6 sẽ gây ra rất nhiều hậu quả nghiêm trọng, vì răng số 6 có vai trò và vị trí đặc biệt. Theo đó, khả năng ăn nhai của Quý khách chắc chắn bị ảnh hưởng, nối tiếp là sự xô lệch các răng và viêm nhiễm răng miệng.
3.1. Suy giảm khả năng ăn nhai
Răng số 6 có vai trò nhai và nghiền nát thức ăn là chính, nên khi bị mất răng, Quý khách sẽ gặp khó khăn khi nhai nhuyễn thức ăn. Về lâu dài, chức năng nhai của toàn hàm sẽ bị ảnh hưởng. Mặt khác, hệ tiêu hoá sẽ chịu áp lực vì hoạt động quá công suất trong thời gian dài, dẫn đến nhiều bệnh lý liên quan đường ruột.
3.2. Khiến răng xô lệch
Mất răng số 6 trong thời gian dài làm cho các răng còn lại trên cung hàm dần bị xô lệch. Đây là sự thay đổi theo chiều hướng tiêu cực, nguy cơ lệch răng toàn hàm và đau cơ hàm. Vấn đề này có tác động đến hệ thần kinh, làm cho Quý khách thường xuyên bị đau đầu.

Mất răng số 6 tạo khoảng trống làm các răng kế cận bị xô lệch
3.3. Mất răng số 6 làm viêm nhiễm răng miệng
Không điều trị kịp thời sau khi răng số 6 bị mất sẽ rất dễ bị viêm nhiễm nướu và tủy răng. Trong trường hợp này, Quý khách sẽ cảm thấy khoang miệng đau nhức âm ỉ, xuất hiện tình trạng sưng tấy nướu.
3.4. Gây tiêu xương hàm, tụt nướu
Khi mất răng số 6 lâu năm, xương hàm sẽ dần tiêu biến do không được lực ăn nhai tác động. Điều này làm cho má bị hóp lại, biến dạng khuôn mặt, vùng da mặt trở nên nhăn nheo hơn.
Có thể thấy rằng, bị mất răng số 6 sẽ dẫn đến rất nhiều những hậu quả nặng nề. Để ngăn chặn rủi ro, Quý khách cần thực hiện các phương pháp phục hình răng số 6 thích hợp. Đây là việc làm cần thiết để bảo vệ sức khỏe răng miệng cũng như toàn thân.
4. Phương pháp phục hình răng số 6 hiệu quả
Sau khi mất răng số 6, Quý khách cần phục hình răng càng sớm càng tốt, để ngăn chặn các rủi ro trong tương lai. Nếu răng số 6 bị mất lâu năm nhưng không được trồng lại, quá trình phục hình răng về sau sẽ khó khăn hơn.
Hiện nay, trồng răng Implant là giải pháp phục hình mất răng hiệu quả và được bác sĩ khuyên dùng.
Trồng răng Implant được đánh giá là phương pháp phục hình răng hiện đại. Phương pháp này có khả năng thay thế chân răng thật đã mất bằng trụ Implant, thay thế thân răng đã mất bằng răng sứ. Với phương pháp này, Quý khách có thể thoải mái ăn nhai và không phải lo lắng về tình trạng sức khỏe răng miệng.
Mời Quý khách lắng nghe chia sẻ của anh Quang Vinh sau khi trồng răng Implant tại Tâm Đức Smile
4.1. Ưu điểm
- Khôi phục hơn 90% khả năng ăn nhai như răng thật.
- Trụ Implant được cố định chắc chắn trong xương hàm, thay thế hoàn hảo cho chân răng số 6 bị mất.
- Trồng răng Implant có khả năng ngăn chặn tình trạng tiêu xương hàm xảy ra do bị mất răng lâu năm.
- Chiếc răng Implant tương đồng với răng thật từ cấu trúc cho đến hình dáng, mang lại cho Quý khách nụ cười tự nhiên, thẩm mỹ.
- Quý khách có thể sử dụng răng Implant lâu dài, tối thiểu trong khoảng 20 năm đến trọn đời nếu chăm sóc răng miệng đúng chuẩn.
4.2. Điểm hạn chế
- Thời gian trồng răng Implant tương đối dài, Quý khách cần chờ khoảng 2-6 tháng để trụ răng nhân tạo hoàn toàn tích hợp với xương hàm.
- Đây là kỹ thuật cần được thực hiện bởi bác sĩ có tay nghề và chuyên môn tốt.
- Chỉ nên trồng răng Implant tại các địa chỉ nha khoa thật sự uy tín để đảm bảo an toàn.
- Chi phí chưa thực sự thích hợp với nhiều khách hàng tại Việt Nam.
Nhưng Quý khách hãy yên tâm vì toàn bộ chi phí trồng răng Implant tại nha khoa Tâm Đức Smile sẽ được chuyển đổi sang trả góp với lãi suất 0%. Quý khách nhận ưu đãi khi đặt hẹn online qua Hotline 1900 8040 - 0329 851 079 (Có sử dụng Zalo/Viber) hoặc điền thông tin vào bảng bên dưới.
Cho đến nay, trồng răng Implant vẫn là giải pháp phục hình răng tối ưu. Quý khách nên trồng răng Implant khi bị mất răng số 6 để cải thiện khả năng ăn nhai và thẩm mỹ gương mặt. Hãy lưu ý rằng, đây là kỹ thuật cần được thực hiện tại đơn vị nha khoa uy tín. Quý khách cần tìm hiểu chi tiết các thông tin liên quan để đảm bảo sức khỏe của chính mình.


