HÀM DUY TRÌ LÀ GÌ? LỢI ÍCH KHI ĐEO HÀM DUY TRÌ
1. Hàm duy trì là gì?
Hàm duy trì là khí cụ nha khoa được chế tác riêng cho từng người sau khi hoàn tất quá trình niềng răng. Nó có vai trò giữ cố định vị trí mới của răng, ngăn răng di chuyển về vị trí ban đầu. Dưới đây là các loại hàm duy trì và lợi ích khi bạn đeo nó.
1.1. Phân loại hàm duy trì
Trong nha khoa, 2 loại hàm được sử dụng phổ biến để duy trì kết quả niềng răng là hàm cố định và hàm tháo lắp.
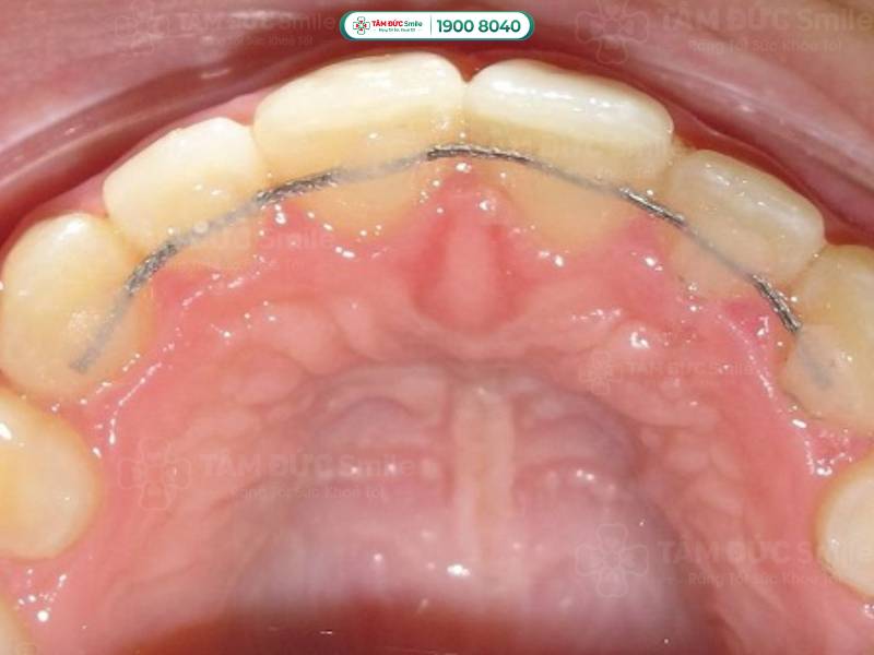
1.1.1. Hàm duy trì cố định
Hàm duy trì cố định được gắn cố định vào mặt trong của răng, thường là các răng cửa và răng nanh. Trước hết, bác sĩ sẽ làm sạch bề mặt răng, sau đó sử dụng keo nha khoa để gắn dây kim loại hoặc composite vào mặt sau của răng. Quá trình này không gây đau và hoàn thành nhanh chỉ trong một lần hẹn. Hàm duy trì cố định không thể tự tháo ra mà cần được thực hiện bởi bác sĩ để không ảnh hưởng đến vị trí của răng.

Hàm duy trì cố định được gắn cố định vào mặt trong của răng
Ưu điểm khi sử dụng hàm duy trì cố định:
- Hiệu quả duy trì cao: Nhờ được gắn cố định nên hàm duy trì kiểm soát tốt vị trí của răng, hạn chế tối đa nguy cơ xô lệch.
- Ít ảnh hưởng đến thẩm mỹ: Hàm duy trì cố định được gắn vào mặt trong của răng nên khó nhìn thấy khi giao tiếp.
- Bền vững: Hàm duy trì cố định được làm từ chất liệu bền như: Thép không gỉ hoặc composite, giúp duy trì độ bền và chức năng trong thời gian dài. Điều này giúp bạn giảm bớt chi phí thay hàm thường xuyên.
1.1.2. Hàm duy trì tháo lắp
Hàm duy trì tháo lắp được làm từ nhựa acrylic trong suốt hoặc chất liệu dẻo. Một số loại có thể kết hợp với các thành phần kim loại để tăng độ bền và ổn định. Loại hàm này được thiết kế vừa vặn với cung hàm của từng người và tháo lắp dễ dàng, thuận tiện để vệ sinh răng miệng và ăn uống.

Hàm duy trì tháo lắp được làm từ nhựa acrylic trong suốt hoặc chất liệu dẻo
Ưu điểm khi sử dụng hàm duy trì tháo lắp:
- Tính thẩm mỹ cao: Hàm được làm từ nhựa trong suốt, khó phát hiện khi đeo, giúp bạn tự tin giao tiếp và tham gia các hoạt động.
- Dễ dàng vệ sinh: Bạn dễ dàng tháo hàm ra để vệ sinh trực tiếp bằng bàn chải và kem đánh răng, đảm bảo hàm luôn sạch sẽ và không gây hôi miệng.
- Tiện lợi khi ăn uống: Việc tháo lắp hàm giúp bạn dễ dàng ăn uống mà không gặp bất kỳ cản trở nào.
1.2. Lợi ích khi đeo hàm duy trì
Đeo hàm duy trì sau khi niềng răng mang lại nhiều lợi ích cho sức khỏe răng miệng như sau.
1.2.1. Duy trì kết quả chỉnh nha
Sau khi niềng răng, dây chằng và xương ổ răng cần có thời gian để thích nghi và ổn định với vị trí răng mới. Đeo hàm duy trì sẽ giúp cố định răng, ngăn ngừa răng di chuyển do áp lực của môi, má, lưỡi hoặc thói quen xấu như: Mút tay, nghiến răng,... Nếu không đeo hàm duy trì, răng dần di chuyển về vị trí cũ, làm mất đi hiệu quả niềng răng đã đạt được.
1.2.2. Ổn định cấu trúc hàm
Đeo hàm duy trì giúp giữ răng ổn định, tạo điều kiện cho xương, mô nướu tái cấu trúc và phát triển ở vị trí mới. Trẻ em và thanh thiếu niên đang trong giai đoạn phát triển, đeo hàm duy trì giúp kích thích xương hàm phát triển theo hướng mong muốn. Qua đó tạo điều kiện cho các răng sắp xếp đều đặn, hạn chế tình trạng hô, móm do thiếu hụt hoặc xương hàm phát triển không cân đối. Đeo hàm duy trì đúng cách giúp tạo ra khoảng trống cho các răng vĩnh viễn, ngăn ngừa tình trạng răng chen chúc, mọc lệch lạc.
1.2.3. Ngăn ngừa vấn đề về khớp cắn
Hàm duy trì giữ cho răng không di chuyển, đảm bảo hàm trên và hàm dưới khớp nhau một cách chính xác. Điều này giúp duy trì sự cân bằng của khớp cắn, giúp bạn ăn nhai thoải mái hơn. Hàm duy trì còn giúp phân bổ lực đều khi cắn, giảm áp lực lên một số răng nhất định, từ đó giảm tình trạng mòn răng.

Hàm duy trì giúp đảm bảo hàm trên và hàm dưới khớp nhau một cách chính xác
1.2.4. Ngăn ngừa vấn đề răng miệng
Sau khi chỉnh nha, răng có xu hướng di chuyển trở lại vị trí ban đầu, tạo ra những khe hở nhỏ. Điều này tạo môi trường cho vi khuẩn tích tụ gây sâu răng, viêm nướu, viêm nha chu,... Đeo hàm duy trì giúp răng ở vị trí sát khít nhau, hạn chế sự tích tụ thức ăn, từ đó giảm nguy cơ sâu răng và viêm nướu.
1.2.5. Cải thiện hình dáng khuôn mặt
Răng đóng vai trò quan trọng trong việc định hình các đường nét khuôn mặt. Khi răng được giữ ở vị trí mới sau quá trình chỉnh nha, các phần như má, môi và cằm cũng sẽ được duy trì ở vị trí hợp lý. Từ đó tạo nên một khuôn mặt cân đối và hài hòa hơn. Đeo hàm duy trì giúp bảo vệ kết quả này, đảm bảo khuôn mặt bạn không bị thay đổi theo thời gian.
1.3. Có cần phải đeo hàm duy trì cả đời không?
Hầu hết mọi người không cần đeo hàm duy trì cả đời. Sau một thời gian, xương hàm và mô nha chu sẽ thích nghi hoàn toàn với vị trí răng mới mà không cần hàm duy trì. Tuy nhiên, thời gian đeo hàm duy trì dài hay ngắn còn phụ thuộc vào nhiều yếu tố như:
- Mức độ lệch của răng trước khi niềng: Những trường hợp răng lệch nặng cần sự thay đổi lớn trong cấu trúc xương thì bạn cần đeo hàm duy trì dài. Điều này giúp răng không bị di chuyển trở lại vị trí cũ và giữ vững kết quả chỉnh nha.
- Tuổi tác: Ở trẻ em và thanh thiếu niên, xương hàm và mô nha chu vẫn đang phát triển. Do đó, họ cần đeo hàm duy trì lâu hơn để ổn định răng khi xương hàm phát triển. Người trưởng thành đeo hàm duy trì trong thời gian ngắn hơn vì cấu trúc xương đã hoàn thiện và ít thay đổi.
- Phản ứng của cơ thể với việc niềng răng: Mỗi người có cơ địa và phản ứng khác nhau với việc niềng răng. Một số người có cơ thể thích nghi với vị trí răng mới nhanh, họ sẽ đeo hàm duy trì trong thời gian ngắn. Ngược lại, những người có cơ thể thích nghi chậm, họ cần đeo hàm trong thời gian dài để răng không bị di chuyển.
- Chăm sóc răng miệng: Nếu bạn chăm sóc răng miệng đúng cách sẽ giúp răng và nướu khỏe mạnh, ít bị tổn thương. Từ đó giúp duy trì kết quả niềng răng lâu dài và rút ngắn thời gian đeo hàm duy trì.

Thời gian đeo hàm duy trì dài hay ngắn phụ thuộc vào nhiều yếu tố
2. Hướng dẫn đeo hàm duy trì đúng cách
Để đảm bảo hiệu quả tối ưu và duy trì kết quả niềng răng lâu dài, việc đeo hàm duy trì đúng cách rất quan trọng. Dưới đây là hướng dẫn chi tiết cách đeo hàm duy trì đối với từng loại.
2.1. Hàm duy trì cố định
Hàm duy trì cố định được gắn trực tiếp vào răng bằng dây hoặc keo composite, nên bạn không thể thực hiện tại nhà mà cần đến nha khoa. Trước đến nha khoa, bạn nên vệ sinh răng miệng sạch sẽ. Điều này giúp loại bỏ mảng bám, ngăn ngừa nguy cơ nhiễm trùng do vi khuẩn xâm nhập vào nướu và mô mềm sau khi gắn hàm. Vệ sinh răng miệng sạch sẽ còn giúp bề mặt răng láng mịn, giúp keo composite hoặc dây kim loại gắn chặt hơn.
2.2. Hàm duy trì tháo lắp
Dưới đây là hướng dẫn chi tiết giúp bạn đeo hàm duy trì tháo lắp đúng cách:
- Rửa tay sạch sẽ: Trước khi đeo hoặc tháo hàm duy trì, bạn nên rửa tay sạch bằng xà phòng và nước ấm.
- Đeo hàm: Nhẹ nhàng đặt hàm vào miệng, đảm bảo vị trí của hàm đúng khớp với vị trí của răng. Dùng lưỡi ấn nhẹ vào hàm để hàm được cố định chắc chắn.
- Cắn nhẹ: Cắn nhẹ vào hàm duy trì để kiểm tra xem hàm đã được đặt đúng vị trí hay chưa. Nếu cảm thấy khó chịu hoặc vướng víu, bạn cần điều chỉnh vị trí của hàm cho đến khi thấy thoải mái.
- Tháo hàm: Để tháo hàm, bạn cần đặt ngón tay cái và ngón trỏ lên hai bên hàm, sau đó dùng lực nhẹ nhàng kéo hàm ra khỏi miệng.
3. Cách bảo quản, vệ sinh hàm duy trì tại nhà
Để hàm duy trì luôn sạch sẽ và hoạt động hiệu quả, bạn nên áp dụng các cách bảo quản và vệ sinh hàm dưới đây:
- Hộp đựng chuyên dụng: Khi không sử dụng, bạn nên để hàm duy trì vào hộp đựng chuyên dụng để tránh bị hư hoặc mất.
- Tránh nhiệt độ cao: Bạn cần tránh để hàm duy trì tiếp xúc với nhiệt độ cao vì dễ làm biến dạng hàm. Thay vào đó, bạn nên bảo quản hộp đựng hàm ở nơi khô ráo, thoáng mát, tránh ánh nắng trực tiếp.
- Vệ sinh hàm duy trì hàng ngày: Sử dụng bàn chải lông mềm và kem đánh răng dành riêng cho hàm duy trì để vệ sinh hàm cẩn thận, loại bỏ mọi cặn bẩn. Điều này giúp bạn ngăn ngừa được sâu răng, viêm nướu,...
- Ngâm trong dung dịch vệ sinh: Bạn nên ngâm hàm duy trì trong dung dịch vệ sinh chuyên dụng ít nhất 1 lần một tuần để tiêu diệt vi khuẩn và khử mùi hôi.
- Kiểm tra hàm duy trì thường xuyên: Bạn nên kiểm tra kỹ hàm duy trì thường xuyên để phát hiện sớm các dấu hiệu hư hỏng hoặc vết nứt. Khi thấy hàm bị nứt, gãy,... bạn nên đến gặp bác sĩ để tìm biện pháp khắc phục kịp thời.

Khi không sử dụng, bạn nên để hàm duy trì vào hộp đựng chuyên dụng
Hy vọng bài viết này đã giúp bạn hiểu rõ hàm duy trì là gì. Đeo hàm duy trì là bước quan trọng và không thể thiếu sau khi hoàn tất quá trình niềng răng. Nó giúp bạn duy trì kết quả chỉnh nha, ổn định cấu trúc hàm và ngăn ngừa các vấn đề về khớp cắn. Đeo hàm duy trì đúng cách và chăm sóc răng miệng cẩn thận sẽ giúp bạn có nụ cười tự tin và sức khỏe răng miệng tốt nhất. Để chọn loại hàm duy trì phù hợp, bạn nên đến nha khoa để bác sĩ tư vấn dựa trên tình trạng răng miệng của bạn.
Quý khách có nhu cầu niềng răng hãy liên hệ ngay cho Tâm Đức Smile bằng cách:
- Gọi đến Hotline 19008040 - 0329851079 (Có sử dụng Zalo/Viber).
- Điền thông tin và câu hỏi thắc mắc vào bảng dưới đây.


