GIẢI ĐÁP: RĂNG BỊ MÒN MẶT NHAI PHẢI LÀM SAO?
1. Cách nhận biết răng bị mòn mặt nhai
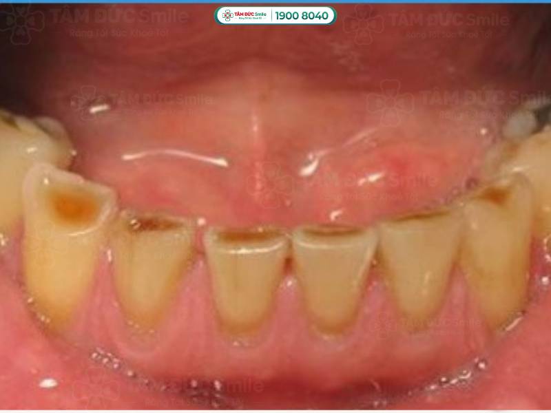
Răng bị mòn mặt nhai là hiện tượng lớp men răng ở phần trên cùng của răng bị bào mòn. Trên mặt nhai xuất hiện các vết lõm nông hoặc sâu không đồng đều, làm mất thẩm mỹ và ảnh hưởng chức năng răng miệng.
1.1. Răng như thế nào là bị mòn mặt nhai?
Răng bị mòn mặt nhai do mất mô răng. Lớp men răng bảo vệ không còn, cấu trúc của bề mặt nhai có sự thay đổi, bắt đầu xuất hiện các vết lõm. Tùy vào mức độ mòn men răng, vết lõm có thể nông hoặc sâu, làm bạn cảm thấy ê buốt khi ăn nhai.
Mặt nhai của răng bị mòn được chia thành 3 cấp độ từ nhẹ đến nặng:
- Mức độ nhẹ: Chỉ lớp men răng bị mòn, khi ăn đồ nóng hay lạnh, bạn sẽ cảm thấy hơi ê buốt.
- Mức độ nặng: Không chỉ lớp men răng, ngà răng bên trong cũng bị phá hủy. Bạn cảm thấy ê buốt thường xuyên, kèm theo cơn đau nhức ở vị trí răng bị mòn.
- Mức độ cực kỳ nghiêm trọng: Răng yếu, xuất hiện tình trạng lung lay, đổi màu. Nếu bạn không điều trị kịp thời, tủy răng ở sâu bên trong cũng bị ảnh hưởng.

Răng bị mòn mặt nhai là hiện tượng lớp men răng ở phần trên cùng của răng bị bào mòn
1.2. Ảnh hưởng khi răng bị mòn mặt nhai
Răng bị mòn mặt nhai ảnh hưởng đến thẩm mỹ và gây ra nhiều vấn đề về răng miệng. Ngoài ra, người bị mòn mặt nhai cũng sinh hoạt bất tiện hơn, đặc biệt là khi ăn uống.
1.2.1. Răng bị mòn mặt nhai gây đau buốt khi ăn uống
Men răng chính là “áo giáp” bảo vệ răng. Lớp men răng bị mòn làm lộ ngà răng bên trong. Ngà răng chứa các ống nhỏ dẫn đến tủy răng, nơi chứa đầy các dây thần kinh cảm giác. Khi bạn ăn thực phẩm nóng, lạnh, chua,... thì dây thần kinh bị kích thích, gây ra cảm giác ê buốt khó chịu.
1.2.2. Sức ăn sụt giảm khi răng bị mòn mặt nhai
Mặt nhai răng bị mòn làm giảm khả năng nghiền nát thức ăn, hoạt động ăn nhai trở nên khó khăn hơn. Nếu răng bị yếu và lung lay, bạn không thể ăn được thức ăn cứng hoặc dai, làm giảm cảm giác thèm ăn. Do đó, bạn không thấy ngon miệng, sức ăn bị sụt giảm trông thấy.

Răng bị mòn mặt nhai gây đau buốt khi ăn uống
1.2.3. Răng bị mòn mặt nhai kéo theo hàng loạt các bệnh lý răng miệng
Men răng sau khi mòn không thể tự tái tạo, gây ra nhiều bệnh lý về răng miệng như:
- Sâu răng: Vi khuẩn dễ dàng xâm nhập vào kẽ hở khi răng mất đi lớp bảo vệ. Ngà răng bên trong cũng lộ ra ngoài, nguy cơ bị sâu răng cao hơn bình thường.
- Viêm tủy răng: Khi răng bị mòn mặt nhai mức độ nặng, tủy răng bị ảnh hưởng, dẫn đến viêm tủy răng, chết tủy răng, mất răng,...
- Tổn thương khớp hàm: Răng bị mòn mặt nhai làm giảm khả năng nghiền nát thức ăn. Cơ nhai và cơ hàm phải làm việc nhiều hơn, gây ra hiện tượng co thắt cơ và tổn thương khớp hàm.
Ngoài các bệnh lý vừa nêu trên, răng bị mòn mặt nhai còn làm ảnh hưởng đến khớp cắn và gây rối loạn khớp thái dương hàm.
1.2.4. Răng bị mòn mặt nhai gây ảnh hưởng lớn đến thẩm mỹ
Lớp men răng bị mất làm cho răng chuyển dần thành màu vàng nâu, rất mất thẩm mỹ. Ngoài ra, răng mất lớp men bảo vệ sẽ ngắn hơn các răng khác. Nếu tình trạng này xuất hiện ở răng cửa, thẩm mỹ nụ cười của bạn sẽ bị ảnh hưởng.
2. Giải pháp cho răng bị mòn mặt nhai
Vậy răng bị mòn mặt nhai phải làm sao? Nếu mòn răng đã ảnh hưởng đến tủy răng, bạn phải điều trị kịp thời để tránh mất răng. Trong trường hợp nhẹ, bác sĩ sẽ đề nghị trám răng hoặc bọc răng sứ để bảo vệ răng, phục hồi chức năng ăn nhai và thẩm mỹ.
2.1. Trám răng phục hồi mặt nhai
Nếu tủy răng chưa bị ảnh hưởng, mòn răng ở mức độ nhẹ, bác sĩ sẽ dùng vật liệu chuyên dụng để trám răng. Phương pháp này đơn giản, thực hiện nhanh, không ảnh hưởng đến răng, giúp làm đầy vết lõm trên bề mặt răng. Trám răng giúp cách ly phần răng bị mòn với vi khuẩn, ngăn chặn vi khuẩn tấn công vào bên trong. Bác sĩ sẽ điều chỉnh miếng trám vừa với răng, không bị cộm cấn, đảm bảo chức năng ăn nhai của răng.

Nếu mòn răng ở mức độ nhẹ, bác sĩ sẽ dùng vật liệu chuyên dụng để trám răng
2.2. Bọc răng sứ bảo vệ răng bị mòn mặt nhai
Nếu răng bị mòn nghiêm trọng và lộ ngà răng ra ngoài, bác sĩ sẽ khuyên bạn bọc răng sứ. Răng sứ che được đến chân răng, hạn chế tối đa tình trạng mòn men răng và bảo vệ ngà răng. Răng sứ cũng cải thiện thẩm mỹ nụ cười nếu răng bạn bị đổi màu vì mòn mặt nhai.
3. Phòng ngừa tình trạng mòn mặt nhai của răng
Răng bị mòn mặt nhai không tự nhiên xuất hiện mà chủ yếu do bệnh lý hoặc chế độ sinh hoạt, vệ sinh răng không tốt. Vậy nên, chỉ cần thay đổi thói quen không tốt và điều trị bệnh lý, bạn đã phòng ngừa được tình trạng mòn răng.
3.1. Các nguyên nhân làm mòn mặt nhai của răng
Có nhiều nguyên nhân làm cho bề mặt nhai của răng bị mòn:
- Bạn sử dụng bàn chải lông cứng, chải theo chiều ngang và chải răng quá mạnh, lớp men trên răng sẽ bị bào mòn.
- Bạn ăn nhiều đồ cứng (kẹo viên, các loại hạt,...) hoặc thức ăn có độ axit cao (nước có ga, chanh, cam,...) men răng cũng sẽ bị mòn.
- Thói quen xấu như cắn móng tay, cắn bút, nghiến răng khi ngủ,... cũng làm men răng bị mòn, thậm chí vỡ răng.
- Bệnh trào ngược dạ dày làm axit dạ dày trào ngược lên miệng, tiếp xúc với răng và làm mòn men răng.
- Bệnh khô miệng làm nước bọt ít tiết ra, axit sau khi ăn uống lưu lại trong miệng làm mòn lớp men răng.
- Một số trường hợp do cơ địa hoặc di truyền từ cha mẹ, lớp men răng đã yếu sẵn, dễ bị mòn và vỡ.

Nên sử dụng bàn chải lông mềm để tránh làm mòn mặt nhai của răng
3.2. Cách phòng tránh hiệu quả
Sau khi tìm hiểu răng bị mòn mặt nhai phải làm sao để cải thiện, bạn nên chủ động phòng ngừa trước tình trạng này. Bạn có thể phòng tránh răng bị mòn mặt nhai bằng cách cải thiện chế độ ăn, lấy vôi răng định kỳ, kiểm soát các bệnh lý,...
3.2.1. Cải thiện chế độ ăn uống
Để tốt cho răng miệng nói riêng và sức khỏe nói chung, bạn nên hạn chế dùng đồ uống có ga, nước ngọt và đồ ăn chua. Thay vào đó, bạn nên lựa chọn các loại thực phẩm tốt cho răng như:
- Sữa và chế phẩm: Chứa nhiều canxi tốt cho răng, giúp bảo vệ răng từ bên trong.
- Chuối: Tạo ra môi trường kiềm có lợi cho men răng, thúc đẩy hấp thụ vitamin D và chuyển hóa canxi.
- Cần tây: Giàu chất xơ và cholesterol lành mạnh, có lợi cho răng và nướu.
- Hạt mè: Giúp đánh bay các mảng bám trên răng.
- Ngũ cốc: Các loại hạt ngũ cốc và các loại đậu giúp giảm lượng axit làm mòn men răng và giảm nguy cơ sâu răng.
- Uống nước lọc thường xuyên: Giúp trung hòa axit trong miệng và tăng cường tiết nước bọt, bảo vệ răng.
3.2.2. Cạo vôi răng định kỳ
Cao răng là môi trường sống lý tưởng của vi khuẩn gây ra bệnh nha chu. Do đó, bạn nên đến nha khoa 6 tháng một lần để cạo vôi răng, đồng thời khám tổng quát sức khỏe răng miệng.

Bạn nên đến nha khoa 6 tháng một lần để cạo vôi răng
3.2.3. Kiểm soát bệnh trào ngược dạ dày
Bạn có thể kiểm soát bệnh trào ngược dạ dày bằng cách uống thuốc hoặc điều chỉnh chế độ ăn uống hợp lý. Bạn nên ăn nhiều rau xanh, hạn chế các loại thực phẩm dầu mỡ và có vị chua để tránh tăng lượng axit dạ dày. Khi bệnh được kiểm soát, bạn sẽ tránh được vấn đề axit làm mòn men răng.
3.2.4. Thay đổi dụng cụ vệ sinh răng miệng
Trả lời câu hỏi răng bị mòn mặt nhai phải làm sao để phòng ngừa, chuyên gia nhấn mạnh tầm quan trọng của việc vệ sinh răng miệng. Bạn nên sử dụng bàn chải lông mềm và kem đánh răng có chứa fluoride để làm sạch răng, đặc biệt là mặt nhai. Sau 3-4 tháng sử dụng, bạn nên thay bàn chải khác. Ngoài ra, bác sĩ cũng khuyên bạn sử dụng chỉ nha khoa, tăm nước và nước súc miệng.
3.2.5. Giải quyết triệt để vấn đề răng sâu
Khi sâu răng, vi khuẩn làm yếu cấu trúc răng, lớp men răng ngoài cùng cũng là nơi đầu tiên vi khuẩn tấn công. Lâu dần, lỗ sâu răng to ra, lớp men răng cũng bị phá hủy. Vậy nên, bạn phải giải quyết triệt để sâu răng bằng cách đến nha khoa. Bác sĩ sẽ trám răng, điều trị tủy răng hoặc bọc răng,... tùy theo mức độ và diện tích răng sâu.

Bạn nên giải quyết triệt để sâu răng bằng cách đến nha khoa
3.2.6. Từ bỏ các thói quen xấu làm hỏng răng
Các thói quen như: Nghiến răng, cắn các vật cứng, cắn móng tay,... làm hỏng, thậm chí vỡ men răng. Do đó, bạn phải tập bỏ dần các thói quen xấu và rèn cho con em bỏ thói quen xấu ngay từ nhỏ. Ví dụ như ngủ hay nghiến răng, bạn có thể tham khảo ý kiến bác sĩ để đặt máng chống nghiến.
Qua bài viết trên, bạn đã tìm hiểu răng bị mòn mặt nhai phải làm sao và cách phòng ngừa mòn răng hiệu quả. Để phát hiện sớm các dấu hiệu mặt nhai bị mòn, bạn nên đến nha khoa kiểm tra định kỳ 6 tháng một lần. Nếu bạn đang gặp vấn đề về sức khoẻ răng miệng, hãy liên hệ với Tâm Đức Smile bằng cách:
- Gọi đến Hotline 19008040 - 0329851079 (Có sử dụng Zalo/Viber).
- Điền thông tin vào bảng sau đây.


