20+ CÂU HỎI VÀ GIẢI ĐÁP NHANH VỀ TRÁM RĂNG TẠI NHA KHOA TÂM ĐỨC SMILE
1. Trám răng là gì? Trường hợp nên trám răng
Trám răng (hoặc còn gọi là hàn răng) là 1 kỹ thuật được sử dụng phổ biến trong nha khoa. Trám răng sử dụng các vật liệu nhân tạo để bù đắp mô răng bị khuyết thiếu do sứt mẻ, gãy vỡ hoặc sâu răng. Đây là phương pháp cải thiện thẩm mỹ hàm răng và chức năng ăn nhai rất hiệu quả.
Trám răng được bác sĩ chỉ định thực hiện trong các trường hợp sau.
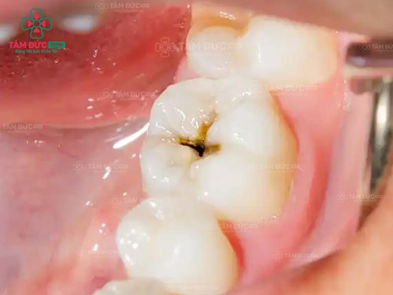
1.1. Răng bị sâu
Khi răng bị sâu, trên thân răng xuất hiện các lỗ nhỏ li ti. Đây chính là vị trí trú ngụ của hàng nghìn loại vi khuẩn. Cùng với thói quen chăm sóc răng miệng không tốt, ăn thực phẩm chứa nhiều đường, lỗ sâu răng sẽ lớn dần và gây đau nghiêm trọng. Nguy hiểm nhất chính là nhiễm trùng và mất răng vĩnh viễn.
Trám răng giúp lấp đầy các lỗ hổng trên thân răng. Nhờ đó, các triệu chứng khó chịu, biến chứng do răng sâu được loại bỏ triệt để. Thẩm mỹ của chiếc răng bị sâu nói riêng và cả hàm răng nói chung đều được phục hồi.



1.2. Răng bị thưa
Khi răng bị thưa, đặc biệt là thưa răng cửa làm cho thẩm mỹ hàm răng bị ảnh hưởng không nhỏ. Trám răng có thể cải thiện tình trạng này, giúp tạo hình thẩm mỹ hoàn chỉnh cho răng. Tuy nhiên, trám răng chỉ thích hợp với các trường hợp răng thưa không quá 2mm.
1.3. Răng bị mẻ
Thân răng có thể bị sứt mẻ, gãy vỡ do nhiều nguyên nhân khác nhau. Trong đó, bị chấn thương, tai nạn hoặc cắn phải vật cứng là các lý do nổi cộm nhất. Khi phát hiện sớm, bác sĩ sẽ chỉ định trám răng để phục hình thân răng. Vật liệu trám răng được cố định ngay tại vị trí răng bị mẻ, giúp Quý khách có được hàm răng nguyên vẹn như cũ.
1.4. Thay miếng trám mới
Hiệu quả trám răng không thể duy trì vĩnh viễn. Theo thời gian, miếng trám răng cũ có thể bị bong tróc hoặc rơi ra do tác động từ lực ăn nhai. Trong trường hợp này, bác sĩ sẽ yêu cầu thay miếng trám răng mới.

Quý khách cần trám lại răng khi miếng trám cũ bị bong tróc
2. Trám răng sử dụng vật liệu gì?
Có rất nhiều loại vật liệu khác nhau được sử dụng khi trám răng. Mỗi loại vật liệu có các ưu điểm, nhược điểm riêng biệt.
2.1. Amalgam
Amalgam (hoặc còn gọi là trám bạc) là vật liệu trám răng có màu bạc, xuất hiện từ lâu trên thị trường nha khoa. Thành phần chủ yếu của Amalgam bao gồm: Bạc, kẽm, đồng, thiếc và thủy ngân.
Loại vật liệu này rất bền, có độ chịu lực tốt và giá thành rẻ nhất trong tất cả các loại vật liệu trám răng. Tuy nhiên, do Amalgam có màu sắc khác biệt với màu răng, nên không được đánh giá cao về thẩm mỹ.
2.2. Vàng
Vàng cũng là 1 loại vật liệu có thể dùng để trám răng. Vàng giúp tăng cường độ chắc của miếng trám, có độ bền và khả năng chịu lực ăn nhai tốt. Vàng là sự lựa chọn thích hợp nếu Quý khách ưa thích phong cách sang trọng. Ngoài ra, tốc độ bị mài mòn của vàng cũng chậm hơn so với các vật liệu trám răng khác. Điểm hạn chế của vàng là có giá thành khá cao.
2.3. Sứ
Vật liệu sứ chủ yếu được sử dụng trong phương pháp trám răng Inlay/Onlay - dùng trong trường hợp răng bị sứt mẻ, gãy vỡ vết lớn. Sứ có màu tương đồng với răng tự nhiên, chống tích tụ mảng bám và hạn chế ăn mòn tốt. Giá sứ trên thị trường cao hơn Amalgam.
2.4. Composite
Composite là vật liệu trám răng được nhiều người lựa chọn, nổi bật với thẩm mỹ và hiệu quả cao. Composite có màu rất giống răng tự nhiên, nên thích hợp để trám răng tại các vị trí dễ thấy. Tuy nhiên, vật liệu Composite hạn chế về độ bền, chỉ có thể duy trì tuổi thọ sử dụng tối đa trong 5 năm.

Trám răng bằng vật liệu Composite
>>> Xem thêm: Cận cảnh trám răng thẩm mỹ bằng vật liệu Composite
2.5. GIC
GIC là cụm từ viết tắt của Glass Ionomer Cement - 1 loại vật liệu trám răng được làm từ Polyacrylic và Fluoro Aluminosilicate. Ưu điểm nổi bật nhất của loại vật liệu này chính là khả năng ngăn ngừa sâu răng tái phát nhờ thành phần có chứa chất Fluor. GIC được gắn chặt vào vị trí răng cần được trám và rất chắc chắn. Tuy nhiên, vật liệu này không có màu giống màu răng nên thẩm mỹ không tự nhiên.
Các loại vật liệu trám răng đều có những ưu điểm và nhược điểm riêng biệt. Để lựa chọn được loại vật liệu thích hợp nhất, Quý khách cần tham khảo ý kiến của bác sĩ trước khi quyết định.
3. Trám răng có bền không?
Kết quả trám răng có bền hay không phụ thuộc vào nhiều yếu tố khác nhau.
3.1. Vật liệu trám răng
Mỗi vật liệu trám răng khác nhau có các ưu điểm và nhược điểm riêng. Có loại vật liệu có độ bền cao, có loại có độ bền thấp.
- Vật liệu trám răng bằng Amalgam có độ chịu lực và cứng chắc cao, tuổi thọ khoảng 5-6 năm.
- Vật liệu trám răng bằng vàng giúp chịu lực ăn nhai tốt, có tuổi thọ khoảng 10 năm.
- Vật liệu trám răng bằng Composite có thẩm mỹ cao, khả năng chống ăn mòn tốt, có thể duy trì khoảng 2-3 năm.
3.2. Tay nghề bác sĩ và công nghệ ứng dụng
Để biết được trám răng có bền hay không, Quý khách cần xem xét về tay nghề của bác sĩ và công nghệ trám răng của nha khoa. Nếu bác sĩ có tay nghề kém, trám răng sai kỹ thuật và sử dụng công nghệ lạc hậu, thì kết quả trám răng không thể bền lâu.
3.3. Cách chăm sóc răng miệng
Cách chăm sóc, vệ sinh răng miệng của Quý khách cũng là yếu tố quyết định kết quả trám răng có bền hay không. Nếu Quý khách ăn uống khoa học và đánh răng đúng cách, hiệu quả trám răng sẽ được kéo dài. Ngược lại, miếng trám rất dễ bị bong tróc hoặc rơi ra nếu Quý khách chăm sóc răng miệng thiếu khoa học.


4. Trám răng có ưu điểm gì?
Kỹ thuật trám răng là sự lựa chọn của nhiều người khi có nhu cầu cải thiện các khiếm khuyết trên răng. Trám răng mang đến lợi ích như:
- Không xâm lấn răng thật.
- Cải thiện tốt thẩm mỹ cũng như khả năng ăn nhai của hàm răng.
- Vật liệu trám răng an toàn cho sức khỏe, độ bền chắc tốt và tuổi thọ sử dụng lâu dài.
- Quy trình trám răng được thực hiện đơn giản, ít rủi ro.
Như vậy, trám răng là sự lựa chọn tối ưu để Quý khách cải thiện các khiếm khuyết trên răng ở mức độ nhẹ. Để trám răng an toàn, Quý khách cần tìm hiểu và đến nha khoa uy tín.
5. Thời gian trám răng bao lâu thì xong?
Thời gian để hoàn tất quy trình trám răng chỉ dao động trong khoảng 15 - 20 phút, hoặc 45 - 60 phút. Tuy nhiên, thời gian trám răng còn bị chi phối bởi nhiều yếu tố.
5.1. Mức độ tổn thương ở răng
Khi trám răng sâu hoặc răng bị gãy vỡ, gãy mẻ ở mức độ nhẹ chỉ cần khoảng 15 - 20 phút. Riêng với trường hợp sâu răng vào tủy sẽ cần nhiều thời gian hơn, khoảng 40 - 60 phút hoặc sau 2 - 3 lần thăm khám tại nha khoa.
5.2. Vị trí răng và số lượng răng cần trám
So với nhóm răng cửa, trám răng hàm cần có nhiều thời gian hơn. Vì các răng có vị trí khuất sâu khó tiếp cận, bác sĩ cần tỉ mỉ trong thao tác để đảm bảo hiệu quả trám răng. Bên cạnh đó, trám nhiều răng cùng lúc cũng tốn nhiều thời gian hơn khi chỉ trám 1 răng.
6. Trám răng có đau hay không?
Có nhiều yếu tố khác nhau tác động đến việc trám răng có đau hay không:
- Tình trạng bệnh lý thực tế của răng miệng.
- Tay nghề của bác sĩ thực hiện trám răng.
- Vật liệu trám răng được sử dụng.
- Cơ địa và ngưỡng chịu đau ở mỗi người.
Nếu Quý khách trám răng tại nha khoa uy tín và được bác sĩ lành nghề thực hiện thì quá trình trám răng diễn ra nhẹ nhàng. Vì các nha khoa chất lượng luôn sử dụng vật liệu trám răng tốt và ứng dụng máy móc hiện đại. Nhờ đó, quy trình trám răng được diễn ra suôn sẻ và thuận lợi, hạn chế tối đa cảm giác đau nhức, khó chịu.
Ngược lại, các địa chỉ kém uy tín luôn đem đến các rủi ro cao trong dịch vụ. Điển hình là trám răng gây đau vì bác sĩ có tay nghề kém, sử dụng công nghệ lạc hậu. Không chỉ bị đau nhức, trám răng tại nha khoa kém uy tín còn làm cho Quý khách đối mặt với nguy cơ bị kích ứng hoặc nhiễm trùng.
Để hạn chế đau nhức cùng các rủi ro không đáng có, Quý khách nên lựa chọn nha khoa đáng tin cậy để gửi gắm sức khỏe. Tại nha khoa Tâm Đức Smile, dịch vụ trám răng được trực tiếp thực hiện bởi bác sĩ giỏi và sử dụng thiết bị máy móc hiện đại. Qua đó giúp Quý khách phục hình răng một cách nhanh chóng, hiệu quả và không đau nhức.

Quá trình trám răng có sự hỗ trợ của thuốc gây tê nên Quý khách không cảm thấy đau hay khó chịu
7. Trám răng có gây tác hại gì hay không?
Trám răng là thủ thuật nha khoa an toàn, không gây hại cho Quý khách. Tuy nhiên, nếu thực hiện trám răng sai cách thì có thể gây ra nhiều tác hại nguy hiểm. Đa số tác hại gặp phải khi trám răng đều diễn ra tại nha khoa kém uy tín, bởi bác sĩ tay nghề yếu kém.
7.1. Dùng vật liệu Amalgam sai cách làm ảnh hưởng sức khỏe
Amalgam là vật liệu có thành phần bao gồm đồng, bạc, thiếc và thủy ngân. Nếu trám răng không đảm bảo có thể vô tình giải phóng thủy ngân, và điều này cực kỳ có hại. Các dấu hiệu ngộ độc thuỷ ngân thường gặp như run rẩy, đau đầu, bị mất ngủ, hệ thần kinh và hô hấp bị tổn thương.
7.2. Nguy cơ bị sâu các răng lân cận
Có đến hơn 60% ca trám răng sai kỹ thuật, làm tăng nguy cơ bị sâu răng kế cận răng được trám. Trong số đó, nguyên nhân đa phần là do miếng trám răng bị sần sùi, dày cộm trở thành vị trí để thức ăn giắt lại.
Ngoài ra, bác sĩ không lấy sạch tủy viêm trước khi trám răng cũng có thể gây ra tình trạng này.
7.3. Bong tróc miếng trám răng sau 1 khoảng thời gian ngắn
Trám răng tại các nha khoa kém uy tín thường không có được hiệu quả dài lâu. Miếng trám răng có thể bị bong tróc chỉ sau 1 khoảng thời gian ngắn sử dụng. Điều này là do bác sĩ có tay nghề non kém, dùng keo dán nha khoa chất lượng kém,...
7.4. Làm răng ê buốt, đau nhức dai dẳng
Trám răng sai kỹ thuật làm cho răng của Quý khách bị đau nhức, ê buốt kéo dài. Đặc biệt là khi sử dụng vật liệu Amalgam sai cách. Vì kim loại có tính dẫn nhiệt, nên khi Quý khách ăn thức ăn nóng hoặc lạnh sẽ dễ bị ê buốt răng hơn.
8. Trám răng giá bao nhiêu tiền tại nha khoa Tâm Đức Smile?
Tại nha khoa Tâm Đức Smile, giá trám răng dao động từ 300.000 đồng - 1.000.000 đồng. Tùy vào mức độ tổn thương của răng và nhu cầu của Quý khách, bác sĩ sẽ giúp Quý khách chọn lựa vật liệu trám răng thích hợp.
>>> Xem thêm: Chi phí trám răng tại Tâm Đức Smile bao nhiêu?
9. Quy trình trám răng được thực hiện như thế nào tại nha khoa Tâm Đức Smile?
Tại nha khoa Tâm Đức Smile, quy trình trám răng được thực hiện theo 7 bước cơ bản.
9.1. Bước 1 - Thăm khám tổng quát và tư vấn
Trước tiên, bác sĩ cần xác định mức độ bị tổn thương răng của Quý khách, 1 số trường hợp cần thiết sẽ phải chụp phim X-quang. Tại bước này, bác sĩ cũng thông tin cặn kẽ cần số răng cần trám và chi phí cụ thể.



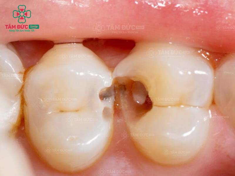
9.2. Bước 2 - Làm sạch xoang sâu
Bác sĩ dùng mũi khoan chuyên dụng để làm sạch toàn bộ mô răng bị sâu. Tùy vào mức độ sâu răng và chiếc răng bị sâu, bác sĩ sẽ giúp khách hàng tạo hình xoang sâu thích hợp.
9.3. Bước 3 - Trám lót và trám nền
Bước này chỉ thực hiện cho các trường hợp bị sâu vết lớn gần tủy.
9.4. Bước 4 - Xoi mòn bề mặt của xoang trám
Bác sĩ bôi chất xoi mòn lên men răng trong khoảng 15 giây, ngà răng khoảng 10 giây và sát tủy răng khoảng 5 giây. Sau đó xịt hơi nước nhẹ làm sạch xoang bị sâu trong khoảng 20-30 giây. Việc làm này cũng nhằm loại bỏ chất axit gây hại cho mô răng.
9.5. Bước 5 - Bôi chất dán lên trên bề mặt xoang
Bác sĩ xịt khô nhẹ lên trên bề mặt xoang cho đến khi bề mặt có màu trắng đục như phấn. Bôi 1 lớp chất dán vừa đủ, dàn trải chất dán đều khắp bề mặt đã được xoi mòn, sau đó sử dụng đèn Laser để đông cứng lớp dán.
9.6. Bước 6 - Bắt đầu trám răng
Bác sĩ sử dụng vật liệu trám răng cho Quý khách. Vật liệu được đắp thành từng lớp lên xoang sâu, đảm bảo dày không quá 2 ly. Dùng ánh sáng Laser chiếu vào Composite trong vòng 15 giây để chuyển đổi Monomer dạng dẻo sang Polimer dạng cứng.
Tiếp tục các bước tương tự cho đến khi hoàn tất miếng trám răng. Ở lớp cuối cùng, bác sĩ sẽ chiếu đèn Laser trong khoảng 30 giây.
9.7. Bước 7 - Tạo hình và đánh bóng miếng trám răng
Nha khoa Tâm Đức Smile sử dụng mũi khoan chuyên dụng để tạo hình miếng trám răng tương tự như răng thật. Bác sĩ thao tác chuẩn xác giúp miếng trám vừa vặn, không làm cho Quý khách cảm thấy vướng cộm. Các phần vật liệu dư được loại bỏ hoàn toàn để không tạo điều kiện cho thức ăn giắt lại.
Bề mặt miếng trám răng sẽ được đánh bóng để đảm bảo thẩm mỹ, không làm Quý khách cảm thấy bị nhám lưỡi. Việc làm này còn có tác dụng hạn chế bám màu miếng trám răng.
Cuối cùng, bác sĩ tại Tâm Đức Smile hướng dẫn Quý khách cách chăm sóc răng trám tại nhà, hẹn lịch tái khám 6 tháng/lần.

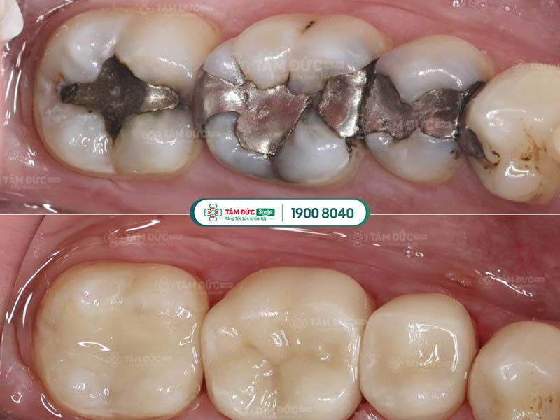
Răng được phục hình sau khi trám
ĐẶT HẸN NGAY HÔM NAY ĐỂ ĐƯỢC:
► Khám và tư vấn miễn phí
► Miễn phí chụp film cùng với máy Conebeam CT trị giá 700K
► Miễn phí quét mẫu hàm công nghệ ITERO trị giá 3 triệu
► Hỗ trợ trả góp 0% lãi suất


10. Cần phải lưu ý gì sau khi trám răng?
Sau khi trám răng, có 4 vấn đề Quý khách cần lưu ý.
Đó là:
- Thời điểm đánh răng
- Thời điểm thích hợp để ăn uống
- Thức ăn nên ăn và thức ăn không nên ăn.
10.1. Lưu ý thời điểm đánh răng thích hợp sau khi trám răng
Trám răng xong, Quý khách không nên đánh răng ngay mà cần ít nhất vài giờ để vật liệu trám đông cứng và bám vào răng. Mỗi vật liệu khác nhau có thời gian đông cứng khác nhau, nên Quý khách cần lắng nghe chỉ dẫn của bác sĩ.
Sau khi miếng trám hoàn toàn cứng cáp, Quý khách có thể đánh răng theo chế độ như bình thường. Tuy nhiên, Quý khách nên tham khảo ý kiến bác sĩ để đảm bảo đánh răng đúng cách, không làm ảnh hưởng miếng trám răng.
10.2. Lưu ý thời điểm thích hợp để ăn uống sau khi trám răng
Sau khi trám răng bao lâu thì ăn được còn phụ thuộc vào vật liệu trám răng Quý khách sử dụng.
- Với vật liệu Composite, Quý khách cần chờ khoảng 1-2 giờ đồng hồ sau khi trám răng mới có thể ăn uống. Trong thời gian đầu, Quý khách có thể thấy răng bị nhạy cảm, nhưng đây là biểu hiện thông thường nên không phải lo lắng.
- Với vật liệu Amalgam, Quý khách cần chờ khoảng 30 phút - 1 giờ đồng hồ sau khi trám răng mới có thể ăn uống. So với Composite, Amalgam có thời gian đông cứng nhanh hơn.
- Với vật liệu sứ, Quý khách cần chờ khoảng vài giờ đến 1 ngày. Như vậy, đây là vật liệu trám răng có thời gian đông cứng lâu nhất.
10.3. Lưu ý thức ăn thích hợp sau khi trám răng
Vừa trám răng xong, Quý khách nên ưu tiên sử dụng các thực phẩm sau đây.
10.3.1. Thức ăn mềm
Là các thức ăn như: Cháo, súp, sinh tố,... để không tạo nhiều áp lực lên miếng trám mới. Lưu ý này giúp cho miếng trám cứng lại nhanh hơn.
10.3.2. Các loại trái cây và rau xanh
Nhóm thực phẩm này cung cấp Vitamin và khoáng chất dồi dào, giúp Quý khách nâng cao sức đề kháng. Đây là thực phẩm rất cần thiết sau khi trám răng.
10.3.3. Sữa và các nhóm thực phẩm được chế biến từ sữa
Đây là thực phẩm chứa nhiều Canxi và khoáng chất cần thiết cho cơ thể. Uống nhiều sữa sau khi trám răng giúp Quý khách tăng cường sức khỏe răng miệng.



10.4. Lưu ý thức ăn không thích hợp sau khi trám răng
Sau khi trám răng, Quý khách cần hạn chế sử dụng các thực phẩm sau đây.
10.4.1. Thức ăn quá cứng hoặc quá dai
Nhóm thức ăn này có thể làm giảm tuổi thọ của miếng trám răng vì cần dùng nhiều lực ăn nhai. Ví dụ như: Thịt bò, chả, thịt gà,...
10.4.2. Thức ăn chứa nhiều đường
Sau khi trám răng, Quý khách cần giảm tiêu thụ đường, vì vậy cần hạn chế các thức ăn như: Bánh kẹo, nước ngọt, các loại mứt,... Lưu ý này nhằm giảm thiểu nguy cơ sâu răng cùng các bệnh lý răng miệng liên quan.
10.4.3. Thức ăn nóng hoặc lạnh
Nhiệt độ nóng hoặc lạnh của thức ăn có thể làm cho miếng trám răng bị co giãn. Điều này làm cho răng trám bị mất tính ổn định, Quý khách nên kiêng các thực phẩm như: Lẩu, kem, nước đá,...
10.4.4. Các chất kích thích
Sau khi trám răng, Quý khách không nên uống nhiều bia rượu hoặc hút thuốc lá. Vì thói quen này có thể phá hủy miếng trám răng hoặc làm cho miếng trám bị ố vàng.
11. Trám răng có cần tiêm thuốc tê không?
Về cơ bản, trám răng là thủ thuật dùng vật liệu chuyên dụng để trám lên thân răng. Quá trình này không làm cho Quý khách cảm thấy đau nhức hay khó chịu. Vì vậy, trong các ca trám răng thông thường không cần tiêm thuốc tê.
Tuy nhiên, với các trường hợp trám răng kết hợp điều trị bệnh lý, bác sĩ sẽ phải tiêm thuốc tê vì quy trình điều trị cần tác động đến mô răng.
Sau đây là các trường hợp trám răng không cần tiêm thuốc tê:
- Trám răng bị sâu ở mức độ nhẹ hoặc chỉ sâu ở ngoài men răng.
- Trám răng thưa.
- Trám răng sứt mẻ.
- Trám răng bị mòn cổ chân ở mức độ nhẹ.
>>> Xem thêm: Trám răng thẩm mỹ có đau hay không?
12. Trám răng có làm hôi miệng không?
Chưa có bất kỳ nghiên cứu nào chứng minh trám răng là nguyên nhân gây hôi miệng. Nếu Quý khách bị hôi miệng sau khi trám răng, có thể là do 1 trong các nguyên nhân sau.



12.1. Bác sĩ trám răng thực hiện sai kỹ thuật
Bác sĩ có tay nghề non kém làm cho miếng trám răng lỏng lẻo, không sát khít với răng thật. Khe hở này chính là vị trí giắt lại thức ăn dư thừa, lâu ngày gây ra mùi hôi khó chịu.
12.2. Vật liệu trám răng không thích hợp
Vật liệu trám răng không thích hợp có thể làm cho Quý khách bị hôi miệng. Trong đó, Composite là vật liệu dễ bị ngấm nước bọt, kết hợp cùng axit trong khoang miệng làm tính chất của vật liệu trám răng bị thay đổi.
Quý khách hãy tham khảo ý kiến bác sĩ để có được sự lựa chọn tốt nhất.
12.3. Miếng trám răng hết thời hạn sử dụng
Tuổi thọ sử dụng của miếng trám răng thường chỉ duy trì trong vài năm, bước qua giới hạn này, miếng trám răng sẽ bị bong tuột. Điều này vô tình tạo điều kiện cho hại khuẩn tấn công vào khoang miệng gây ê buốt, làm cho hơi thở có mùi hôi.
12.4. Chưa chữa sâu răng dứt điểm trước khi trám răng
Không điều trị sâu răng triệt để trước khi trám răng là nguyên nhân gây hôi miệng phổ biến nhất. Vì vi khuẩn vẫn còn tồn tại trong tủy viêm, không chỉ làm hôi miệng mà còn tăng nguy cơ mất răng vĩnh viễn.
12.5. Vệ sinh răng miệng sau khi trám răng không sạch sẽ
Nếu Quý khách ăn nhiều hành, tỏi sau khi trám răng thì hơi thở cũng sẽ có mùi hôi khó chịu. Thói quen vệ sinh răng miệng không thường xuyên hoặc sai cách làm thức ăn bị giắt lại ở kẽ răng, làm hơi thở nặng mùi.
Tóm lại, trám răng không làm cho Quý khách bị hôi miệng. Bị hôi miệng sau khi trám răng là do 1 số tác động từ kỹ thuật trám răng.
13. Có thể trám răng sứ không?
Không thể trám răng sứ. Lý do là vật liệu trám răng chỉ có tác dụng trên mô răng thật, không có khả năng kết nối với răng sứ. Ngoài ra, răng sứ được chế tác từ khối sứ riêng biệt, nên không thể thêm vật liệu khác vào. Nếu răng sứ bị vỡ hoặc sứt mẻ, giải pháp khắc phục duy nhất chính là thay mới răng sứ.
14. Răng đã trám có thể tẩy trắng hay không?
Thuốc tẩy trắng răng không có tác dụng trên vật liệu trám răng, do đó, Quý khách không thể tẩy trắng răng trám. Quý khách chỉ có thể tẩy trắng men răng thật, nếu sử dụng thuốc tẩy trắng lên răng trám có thể gây ra rủi ro. Thuốc tẩy trắng và răng trám khi tiếp xúc có thể gây ra chuỗi phản ứng oxy hoá, làm cho răng trám càng dễ bị đổi màu hơn.
15. Trám răng có cần phải diệt tủy răng hay không?
Trám răng cần diệt tủy răng chỉ áp dụng đối với các trường hợp phải điều trị tủy. Nếu tủy của Quý khách bị viêm nhiễm, thì việc diệt tủy trước khi trám răng là rất cần thiết. Bác sĩ sẽ loại bỏ toàn bộ mô tủy đã chết để giúp Quý khách đảm bảo sức khỏe răng miệng.
Nếu Quý khách chỉ trám răng trong trường hợp răng bị sứt mẻ nhẹ hoặc răng thưa thì không cần diệt tủy răng. Vì quy trình trám răng chỉ tác động đến bề mặt răng, ngoài ra tủy răng của Quý khách cũng đang rất khỏe mạnh.

Nếu sâu răng đến tuỷ, bác sĩ buộc phải lấy tuỷ răng trước khi trám
16. Phụ nữ đang mang thai có trám răng được không?
Tại thai kỳ thứ 4-7, phụ nữ đang mang thai có thể trám răng được. Vì ở giai đoạn này, thai nhi đã phát triển ổn định, cơ thể người mẹ cũng dễ chịu hơn nên có thể đáp ứng các thủ thuật nha khoa.
Tuy nhiên, mỗi thai phụ khác nhau sẽ có cơ địa khác nhau. Để biết giai đoạn mang thai hiện tại của mình có trám răng được không, Quý khách cần liên hệ với bác sĩ. Sau khi thăm khám, bác sĩ sẽ đưa ra chỉ định an toàn và thích hợp nhất.
17. Đang cho con bú có trám răng được hay không?
Khi đang trong thời kỳ cho con bú, Quý khách vẫn có thể trám răng như bình thường. Vì trám răng là thủ thuật đơn giản, không làm ảnh hưởng đến nướu răng. Trong trường hợp nhẹ, trám răng không cần sử dụng thuốc gây tê, nên không làm ảnh hưởng chất lượng sữa của người mẹ.
Nhưng để an toàn nhất, Quý khách cần cho bác sĩ biết thật chi tiết về sức khỏe hiện tại và thời gian sinh bao lâu. Thông qua đó, bác sĩ sẽ cân nhắc sử dụng lượng thuốc tê thích hợp. Quý khách có thể yên tâm vì thuốc tê được dùng trong nha khoa không làm ảnh hưởng em bé đang bú sữa mẹ.
18. Trám răng xong có bị sâu lại hay không?
Sau khi trám răng, Quý khách vẫn có thể bị sâu răng trở lại do nhiều nguyên nhân.
18.1. Do làm sạch răng miệng không tốt
Vệ sinh răng miệng là việc làm rất quan trọng, dù Quý khách có trám răng hay không. Nếu không vệ sinh răng trám đúng cách, thức ăn tồn đọng sẽ trở thành nơi trú ngụ của vi khuẩn. Sự tấn công mạnh mẽ của vi khuẩn dẫn đến tình trạng sâu răng sau khi trám.
Ngoài ra, nếu Quý khách dùng lực chải răng quá mạnh cũng có thể gây ra tình trạng này. Vì lực chải răng quá mức làm bào mòn men răng và răng trám, đây cũng là điều kiện để vi khuẩn phát triển gây sâu răng.
18.2. Do ăn uống không khoa học
Nếu răng trám bị sâu, Quý khách cần xem xét lại thói quen ăn uống thường ngày. Nếu Quý khách ăn nhiều thực phẩm chứa đường hoặc axit như: Bánh kẹo, chanh, bưởi,... thì răng trám bị sâu là điều dễ dàng.
18.3. Do bác sĩ trám răng sai kỹ thuật
Nếu bác sĩ không trị hết răng sâu trước khi trám, vi khuẩn vẫn phát triển dẫn đến tình trạng sâu răng tái phát. Bác sĩ không xử lý lớp trám sạch sẽ hoặc trám răng bị chênh, tạo điều kiện cho vi khuẩn lọt vào và gây sâu răng.
19. Răng sau khi trám bị cộm cấn thì phải làm sao?
Nếu cảm thấy răng trám bị cộm cấn khó chịu, Quý khách cần liên hệ bác sĩ để điều chỉnh lại miếng trám răng. Không nên kéo dài vấn đề này để ngăn chặn các sự cố ngoài ý muốn. Tùy thuộc vào mức độ bị chênh, bác sĩ có thể giúp Quý khách điều chỉnh hoặc thay miếng trám mới hoàn toàn.
20. Răng trám có bị đổi màu không?
Vật liệu trám răng được chế tác bởi công nghệ nha khoa hiện đại, có tích hợp khả năng hạn chế biến đổi màu. Nếu Quý khách chăm sóc răng miệng sai cách hoặc ăn nhiều thực phẩm sẫm màu, thì miếng trám răng vẫn có thể bị ố vàng. Quý khách nên lưu ý chăm sóc răng trám đúng cách để duy trì thẩm mỹ lâu dài.
21. Trám răng có được hưởng quyền lợi từ bảo hiểm y tế không?
Trám răng được bảo hiểm y tế chi trả trong trường hợp được bác sĩ chỉ định để điều trị răng sâu hoặc răng bị sứt mẻ. Theo đó, Quý khách có thể được hỗ trợ từ 40% - 100% chi phí.
Theo khoản 3 điều 12 Luật Bảo hiểm Y tế 2014 quy định: Trám răng đúng tuyến được bảo hiểm y tế chi trả 100%. Trám răng trái tuyến hoặc chuyển tuyến được bảo hiểm y tế chi trả 40% - 70%.
Trong bài viết vừa rồi, nha khoa Tâm Đức Smile đã giúp Quý khách giải đáp các thắc mắc thường thấy nhất về trám răng. Quý khách cần trám răng nhanh, không phải chờ đợi lâu hãy đặt lịch hẹn với Tâm Đức Smile bằng cách:
-
Gọi vào Hotline 19008040 - 0329851079 (Có sử dụng Zalo/Viber).
-
Điền thông tin vào bảng sau đây để bác sĩ tư vấn trong hôm nay.


